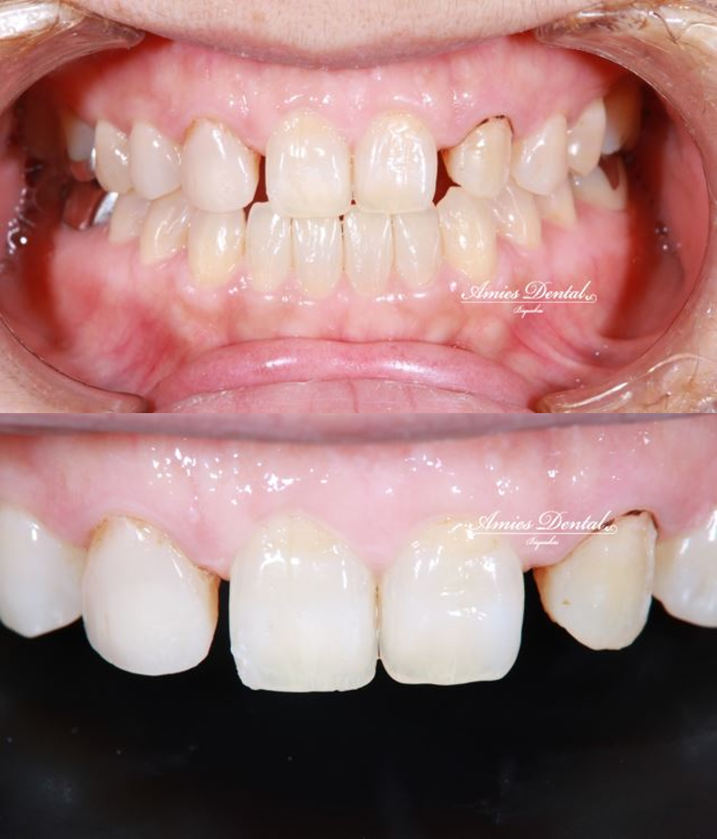
セラミック治療
症例1:金属が気になるという患者様
ホワイトニングを含め、ジルコニアを使ったトータル治療を行いました。
| 【術前】 | 【術後】 |
|---|---|
![]() |
![]() |
| 治療方法 | セラミック治療、ホワイトニング |
|---|---|
| 治療期間 | 1年6カ月 |
| 副作用・リスク | 個人差により、ごく稀に欠けたり壊れる可能性があります |
| 費用 | 795,000円 |
症例2:ジルコニアの症例
歯と歯茎に隙間が見えはじめ、歯の間も虫歯で黒ずんでいた患者さんです。ホワイトニングをし、ジルコニアで修復しました。これからもホワイトニングを重ねていく予定です。
術前

術後

| 治療方法 | セラミック治療、ホワイトニング |
|---|---|
| 治療期間 | 2カ月 |
| 2副作用・リスク | 個人差により、ごく稀に欠けたり壊れる可能性があります |
| 費用 | 140,000円 |
症例3:ジルコニアの症例
前歯4本の色、形、歯茎のふちが気なっていた患者さんです。ホワイトニングをし、犬歯の位置と調和するように4本のジルコニアをいれました。とっても上品な口元になりました。
術前

術後

| 治療方法 | セラミック治療 |
|---|---|
| 治療期間 | 2カ月 |
| 2副作用・リスク | 個人差により、ごく稀に欠けたり壊れる可能性があります |
| 費用 | 480,000円 |
症例4:前歯の離開の症例
ホワイトニングを行い、ジルコニアで歯列を整えました。
術前

術後

| 治療方法 | セラミック治療、ホワイトニング |
|---|---|
| 治療期間 | 2カ月 |
| 2副作用・リスク | 個人差により、ごく稀に欠けたり壊れる可能性があります |
| 費用 | 260,000円 |
症例5:前歯が突出し、歯茎の色、歯の色が気になって来院された症例
前歯2本をジルコニアで修復、ホワイトニング2回、歯茎のメラミン色素をレーザー除去、平行して歯肉炎の治療を行いました。歯茎が回復した後、根元の虫歯はダイレクトで修復しました。
術前

術後

| 治療方法 | セラミック治療、ホワイトニング |
|---|---|
| 治療期間 | 2カ月 |
| 2副作用・リスク | 個人差により、ごく稀に欠けたり壊れる可能性があります |
| 費用 | 320,000円 |
症例6:前歯の突出感と色が気になるという患者様
ホワイトニングとジルコニアできれいになりました。前歯6本をオールセラミックにしてしまうところ、2本だけ新しくして前歯のバランスをとっています。
術前

術後

| 治療方法 | セラミック治療、ホワイトニング |
|---|---|
| 治療期間 | 2カ月 |
| 2副作用・リスク | 個人差により、ごく稀に欠けたり壊れる可能性があります |
| 費用 | 260,000円 |
症例7:仮歯がすり減り噛み合わせが崩れてしまった患者様
噛み合わせを上げ、11本ジルコニアで回復しました。顎の状態も良好です。
術前

術後

術前

術後

| 治療方法 | セラミック治療 |
|---|---|
| 治療期間 | 1年 |
| 2副作用・リスク | 個人差により、ごく稀に欠けたり壊れる可能性があります |
| 費用 | 1,320,000円 |
症例8:歯並びが斜めになっている患者様
歯ぐきの位置と歯軸の修正をしました。ホワイトニングとジルコニアできれいな口元になりました。審美ちりょうでは、前歯4本をジルコニアにしてしまいがちですが、ご自身の歯をできる限り使用して頂きたい為、形態修正を加え、2本のジルコニアですみました。
術前

術後

| 治療方法 | セラミック治療 |
|---|---|
| 治療期間 | 2カ月 |
| 2副作用・リスク | 個人差により、ごく稀に欠けたり壊れる可能性があります |
| 費用 | 240,000円 |
症例9:ラミネートべニア
術前

術後

| 治療方法 | ラミネートべニアを使用した治療/スーパーホワイトニング |
|---|---|
| 治療回数 | 2回 |
| 2副作用・リスク | 個人差により、ごく稀に欠けたり壊れる可能性があります |
| 費用 | 260,000円 |
症例10:ハイブリッドインレー症例
金属が目立つというので、白くしたいという方がたいへんいらっしゃいます。

術前
- 金属が目立ちます。
- アレルギーの原因にもなります。

術後
金属の詰め物を、このように白いハイブリッドタイプに変えました。
溝を白くしたい方、溝を天然歯と同じように茶色の線を付けたい方、リクエストにお応えします。
| 治療方法 | セラミック治療 |
|---|---|
| 治療回数 | 2回 |
| 2副作用・リスク | 個人差により、ごく稀に欠けたり壊れる可能性があります |
| 費用 | 45,000円 |
症例11:ハイブリットインレー、グラディアダイレクトの症例
金属アレルギーもありお口の中に金属が入っているのが嫌という患者様です。ハイブリットにかえました。体も軽くなりアレルギー症状も軽減されてきています。
術前

術後

| 治療方法 | セラミック治療 |
|---|---|
| 治療回数 | 2回 |
| 2副作用・リスク | 個人差により、ごく稀に欠けたり壊れる可能性があります |
| 費用 | 45,000円 |
症例12:ハイブリッドインレー症例
術前

術後

| 治療方法 | セラミック治療 |
|---|---|
| 治療回数 | 4回 |
| 副作用・リスク | 個人差により、ごく稀に欠けたり壊れる可能性があります |
| 費用 | 360,000円 |
症例13
前歯8本のセラミック治療になります
術前

術後

| 治療方法 | セラミック治療 |
|---|---|
| 治療期間 | 8カ月 |
| 2副作用・リスク | 個人差により、ごく稀に欠けたり壊れる可能性があります |
| 費用 | 700,000円 |
スーパーエナメル治療
症例1
前歯部6本のスーパーエナメル治療になります
術前

術後

| 治療方法 | スーパーエナメル治療 |
|---|---|
| 治療回数 | 3回 |
| 2副作用・リスク | 嚙み合わせによっては早期にとれる場合もあります。 個人差により、ごく稀に欠けたり壊れる可能性があります。 |
| 費用 | 528,000円(前歯部6本) |
症例2
前歯部6本・下あご8本のスーパーエナメル治療になります
術前

術後

| 治療方法 | スーパーエナメル治療 |
|---|---|
| 治療回数 | 5回 |
| 副作用・リスク | 嚙み合わせによっては早期にとれる場合もあります。 個人差により、ごく稀に欠けたり壊れる可能性があります。 |
| 費用 | 1,232,000円(14本) |
症例3
術前

術後

| 治療方法 | スーパーエナメル治療 |
|---|---|
| 治療回数 | 3回 |
| 副作用・リスク | 嚙み合わせによっては早期にとれる場合もあります。 個人差により、ごく稀に欠けたり壊れる可能性があります。 |
| 費用 | 580,800円(6本) |
症例4
術前

術後

| 治療方法 | スーパーエナメル治療 |
|---|---|
| 治療回数 | 3回 |
| 副作用・リスク | 嚙み合わせによっては早期にとれる場合もあります。 個人差により、ごく稀に欠けたり壊れる可能性があります。 |
| 費用 | 320,000円(4本) |
審美義歯(エステティックデンチャー)
ノンクラスプデンチャー (針金のないエステティックデンチャー)
症例1:針金のないエステティックデンチャー
このように針金を使っていません。
右上に歯のない方です。
針金がないため、入れ歯とはほとんど気づきません。
右上の黒い色素もかくれました。さらに、レーザーで色素を薄くしています。
| 治療方法 | エステティックデンチャーを使用した入れ歯治療 |
|---|---|
| 治療回数 | 3回 |
| 副作用・リスク | 個人差により、ごく稀に強い力をかけると欠ける可能性があります |
| 費用 | 150,000円 |
症例2:針金のないエステティックデンチャー
片方だけの義歯です。
顎の骨が薄くインプラントには難しい患者様
針金がないのでとっても自然です。
右上の黒い色素もかくれました。さらに、レーザーで色素を薄くしています。
| 治療方法 | エステティックデンチャーを使用した入れ歯治療 |
|---|---|
| 治療回数 | 3回 |
| 副作用・リスク | 個人差により、ごく稀に強い力をかけると欠ける可能性があります |
| 費用 | 120,000円 |
症例3:針金のないエステティックデンチャー
-


インプラントは、少し抵抗があるという患者様
-


全体のホワイトニングを行い、針金のない義歯を入れました。
左側はハイブリットタイプの5本のブリッチを入れました。
| 治療方法 | エステティックデンチャーを使用した入れ歯治療 |
|---|---|
| 治療回数 | 3回 |
| 副作用・リスク | 個人差により、ごく稀に強い力をかけると欠ける可能性があります |
| 費用 | 120,000円 |
症例4:針金のないエステティックデンチャー
-

骨の量が少なく、インプラントは抵抗のある患者様です。
-

ノンクラスプデンチャーを作りました。
針金がないので笑った顔もとても素敵になりました。
前歯の金属4本は白いものにこれから変えていく予定です。
| 治療方法 | エステティックデンチャーを使用した入れ歯治療 |
|---|---|
| 治療回数 | 3回 |
| 副作用・リスク | 個人差により、ごく稀に強い力をかけると欠ける可能性があります |
| 費用 | 150,000円 |
症例5:針金のないエステティックデンチャー
| 治療方法 | エステティックデンチャーを使用した入れ歯治療 |
|---|---|
| 治療回数 | 3回 |
| 副作用・リスク | 個人差により、ごく稀に強い力をかけると欠ける可能性があります |
| 費用 | 120,000円 |
コーヌスクローネ
症例1
内側は、このようになっています。これを土台にはめます。
中は、弱い歯でも抜かずに金属でガードします。抜いしまっては、骨がやせてしまうからです。
針金がないため、義歯を入れているとは気づきません。
| 治療方法 | コーヌスクローネを使用した入れ歯治療 |
|---|---|
| 治療回数 | 5回 |
| 副作用・リスク | 土台となるご自身の歯を削る必要があります(削る量は個人差があります) |
| 費用 | 1,600,000円 |
症例2
残っている歯は5本だけです。
コーヌスクローネを入れた所
口元に針金が見えないので、とっても綺麗です。
| 治療方法 | コーヌスクローネを使用した入れ歯治療 |
|---|---|
| 治療回数 | 5回 |
| 副作用・リスク | 土台となるご自身の歯を削る必要があります(削る量は個人差があります) |
| 費用 | 890,000円 |
マグネット(磁石)義歯
症例1
キーパー付き根面板
磁石構造体の入った義歯
義歯装着
| 治療方法 | マグネット(磁石)義歯を使用した入れ歯治療 |
|---|---|
| 治療回数 | 5回 |
| 副作用・リスク | 歯周病が進行していると処置自体ができない場合があります |
| 費用 | 220,000円 |
症例2
お口の中は、1つの磁石だけです。
顎がやせてしまっても、磁石でがっちりつきます。
| 治療方法 | マグネット(磁石)義歯を使用した入れ歯治療 |
|---|---|
| 治療回数 | 5回 |
| 副作用・リスク | 歯周病が進行していると処置自体ができない場合があります |
| 費用 | 220,000円 |
症例3
| 治療方法 | マグネット(磁石)義歯を使用した入れ歯治療 |
|---|---|
| 治療回数 | 5回 |
| 副作用・リスク | 歯周病が進行していると処置自体ができない場合があります |
| 費用 | 220,000円 |
症例4
| 治療方法 | マグネット(磁石)義歯を使用した入れ歯治療 |
|---|---|
| 治療回数 | 5回 |
| 副作用・リスク | 歯周病が進行していると処置自体ができない場合があります |
| 費用 | 630,000円 |
金属床
症例1
| 治療方法 | 金属床を使用した入れ歯治療 |
|---|---|
| 治療回数 | 5回 |
| 副作用・リスク | 歯周病が進行していると処置自体ができない場合があります |
| 費用 | 350,000円 |
インプラント
症例1:前歯を失った患者様
十分な骨量がないため増骨し、インプラント植立しました。茶色の歯は神経がない歯です。ハイブリットタイプの被せ物で修復しています。
インプラント植立

術後

| 治療方法 | インプラント治療、セラミック治療 |
|---|---|
| 治療期間 | 1年 |
| 副作用・リスク | 手術後の腫れ・痛みを伴うことがあります |
| 費用 | 630,000円 |
症例2:臼歯を失った患者様
下顎右側・第一大臼歯、第二大臼歯の部分にインプラントを植立
インプラント植立

術後

| 治療方法 | インプラント治療 |
|---|---|
| 治療期間 | 6カ月 |
| 副作用・リスク | 手術後の腫れ・痛みを伴うことがあります |
| 費用 | 820,000円 |
レーザー治療
レーザーによって摘出した良性腫瘍
| 治療方法 | レーザー治療 |
|---|---|
| 治療回数 | 1回 |
| 副作用・リスク | 慢性もしくは長期にわたる疾患が処置されるている場合、疼痛反応がみられることがあります |
| 費用 | 20,000円 |
【メラニン色素除去1】
術前

術後

| 治療方法 | レーザー治療 |
|---|---|
| 治療回数 | 2回 |
| 副作用・リスク | 慢性もしくは長期にわたる疾患が処置されるている場合、疼痛反応がみられることがあります |
| 費用 | 片顎20,000円 |
【メラニン色素除去2】
術前

術後

| 治療方法 | レーザー治療 |
|---|---|
| 治療回数 | 2回 |
| 副作用・リスク | 慢性もしくは長期にわたる疾患が処置されるている場合、疼痛反応がみられることがあります |
| 費用 | 片顎20,000円 |
歯肉メタルタトゥの除去
術前

術後

| 治療方法 | レーザー治療 |
|---|---|
| 治療回数 | 2回 |
| 副作用・リスク | 慢性もしくは長期にわたる疾患が処置されるている場合、疼痛反応がみられることがあります |
| 費用 | 片顎20,000円 |
レーザーによって削除した上顎骨隆起
-

術前
-

術中
-

術後
-

2週間後
| 治療方法 | レーザー治療 |
|---|---|
| 治療回数 | 2回 |
| 副作用・リスク | 慢性もしくは長期にわたる疾患が処置されるている場合、疼痛反応がみられることがあります |
| 費用 | 35,000円 |
舌の裏側に潰瘍ができた患者様
レーザーを使用し2~3日で回復しました。
術前

術後

| 治療方法 | レーザー治療 |
|---|---|
| 治療回数 | 1回 |
| 副作用・リスク | 慢性もしくは長期にわたる疾患が処置されるている場合、疼痛反応がみられることがあります |
| 費用 | 2,000円 |
レーザー治療によって除去した脂肪腫1
術前

術後

| 治療方法 | レーザー治療 |
|---|---|
| 治療回数 | 1回 |
| 副作用・リスク | 慢性もしくは長期にわたる疾患が処置されるている場合、疼痛反応がみられることがあります |
| 費用 | 20,000円 |
レーザー治療によって除去した脂肪腫2
術前

術後

| 治療方法 | レーザー治療 |
|---|---|
| 治療回数 | 2回 |
| 副作用・リスク | 慢性もしくは長期にわたる疾患が処置されるている場合、疼痛反応がみられることがあります |
| 費用 | 20,000円 |
発音障害・機能障害となる舌小帯の切断
術前

術後

| 治療方法 | レーザー治療 |
|---|---|
| 治療回数 | 1回 |
| 副作用・リスク | 慢性もしくは長期にわたる疾患が処置されるている場合、疼痛反応がみられることがあります |
| 費用 | 20,000円 |
矯正治療
症例1:八重歯と下の歯が前に出ていた患者様
きれいな口元になりました。
治療前

治療後

| 治療方法 | マウスピース矯正 |
|---|---|
| 治療期間 | 1年6カ月 |
| 副作用・リスク | 歯や骨の状態、むし歯や歯周病の発生などによって、当初の治療計画よりも治療期間が長くなる場合があります |
| 診断料 | 200,000円 |
| 治療費 | 600,000円 |
症例2:歯並びが不安定な患者様
きれいな噛み合わせになりました。
治療前

治療後

| 治療方法 | |
|---|---|
| 副作用・リスク | |
| 費用 |
症例3:前歯の突出していた患者様
インビザを使い6カ月で歯並びが揃いました。
治療前

治療後

| 治療方法 | |
|---|---|
| 副作用・リスク | |
| 費用 |
歯周治療
症例1:セラミッククラウン・歯周病治療の症例
歯周病に罹患した場合も治療する事によって歯並びを改善し、ガタガタだった下の前歯もセラミッククラウンによって奇麗に若返ります。奥歯は針金タイプの仮義歯が入っていますが(咬合改善の為)、次回、針金がない審美義歯 Artifical Tooth を作る予定です。

治療前
歯周病で前歯が突き出している状態

治療後
前歯と下の歯をセラミッククラウンに変えて顔の輪郭と調和させました。
| 治療方法 | 歯周病治療、セラミック治療 |
|---|---|
| 治療期間 | 3カ月 |
| 副作用・リスク | 個人差により、ごく稀に欠けたり壊れる可能性があります |
| 費用 | 720,000円 |
症例2:上の前歯がグラグラして歯周病に罹っている症例
歯周病治療を行いました。こんなに綺麗になりました。オパールクラウンという使用しています。70歳代の患者様ですが、とても若々しくなりました。
治療前


治療後


| 治療方法 | 歯周病治療、セラミック治療 |
|---|---|
| 治療期間 | 3カ月 |
| 副作用・リスク | 個人差により、ごく稀に欠けたり壊れる可能性があります |
| 費用 | 480,000円 |
症例3:全体的な歯の動揺があり、重度の歯周病の患者様
歯周再生療法を行い、動揺を抑えました。さらにホワイトニングを行う事により、モチベーションもあがり、今では綺麗な歯ぐきを手に入れています。下の義歯は噛み合わせを上げる為のもので、これから針金のないタイプを入れる予定です。
治療前

治療後

| 治療方法 | 歯周再生療法、ホワイトニング |
|---|---|
| 治療回数 | 4回 |
| 副作用・リスク | 歯の移動による痛みが生じる場合があります |
| 費用 | 70,000円 |
クリーニング(PMTC)
症例1:クリスタルジェット
クリーニング前

クリーニング後

| 治療方法 | クリーニング(PMTC) |
|---|---|
| 副作用・リスク | 出血する場合があります |
| 費用 | 6,000円 |
症例2:クリスタルジェット
エアフローを使って着色を取り除いた後、トリートメントケアを行い、汚れが付きにくい状態を作りました。
クリーニング前

クリーニング後

| 治療方法 | クリーニング(PMTC) |
|---|---|
| 副作用・リスク | 出血する場合があります |
| 費用 | 6,000円 |
症例3:クリスタルジェット
エアフロー後のトリートメントケアでその後の着色が軽減されました。
現在は、定期的に歯周病の予防として行っております。
クリーニング前

クリーニング後

| 治療方法 | クリーニング(PMTC) |
|---|---|
| 副作用・リスク | 出血する場合があります |
| 費用 | 6,000円 |
症例4:クリスタルジェット

術前
歯肉炎と口臭が気になる患者様

術後
超音波で歯石と取り除いた後、マッサージで歯肉炎も改善しました。
| 治療方法 | クリーニング(PMTC) |
|---|---|
| 副作用・リスク | 出血する場合があります |
| 費用 | 6,000円 |
症例5:クリスタルジェット

術前
下の歯の内側に歯石とヤニがついていた患者様。
本人は全く気付いていません。

術後
歯石、着色を取りました。
患者様は本来のご自身の歯が表れたので、とても感動されました。
これからより一層ブラッシング
されることでしょう。
| 治療方法 | クリーニング(PMTC) |
|---|---|
| 副作用・リスク | 出血する場合があります |
| 費用 | 6,000円 |
症例6:クリスタルジェット

術前
着色と歯石が気になる患者様です

術後
エアフローを使って着色を取り除いた後、トリートメントケアを行い、汚れが付きにくい状態を作りました。
| 治療方法 | クリーニング(PMTC) |
|---|---|
| 副作用・リスク | 出血する場合があります |
| 費用 | 6,000円 |
症例7:クリスタルジェット

術前
歯石、着色、口臭が気になる患者様です。

術後
エアフローを使い、普段ハブラシだけでは完全には手の届かない間やポケットの中もお掃除しました。
術後はお口の粘つきや口臭も気にならなくなりました。
| 治療方法 | クリーニング(PMTC) |
|---|---|
| 副作用・リスク | 出血する場合があります |
| 費用 | 6,000円 |
症例8:クリスタルジェット

術前

術後
| 治療方法 | クリーニング(PMTC) |
|---|---|
| 副作用・リスク | 出血する場合があります |
| 費用 | 6,000円 |
症例:シュパーブ(トリートメント)

術前
研磨剤を使った歯磨き粉で毎日磨いていたら、全体的にしみるようになってしまった患者様

術後
歯の表面はコートされつるつるになります。
※毎日の歯磨き粉は研磨剤を使用していないものにかえていただきました。
| 治療方法 | トリートメント |
|---|---|
| 副作用・リスク | 出血する場合があります |
| 費用 | 5,000円 |
症例:スケーリング

術前
歯と歯の間に白い歯石がついています。

術後
クリーニング後はフロスも通るようになり、歯肉炎も解消されました。
| 治療方法 | クリーニング(PMTC) |
|---|---|
| 副作用・リスク | 出血する場合があります |
| 費用 | 保険適応 |
ホワイトニング
症例1:20代女性 全体的な黄ばみが気になる患者さんです。
オフィスホワイトニングを重ね、すっかり白くなったところで、前歯の詰め物を修復しました。今では、ホームホワイトニングを併用して白さを維持しています。
術前

術後

| 治療方法 | ホワイトニング |
|---|---|
| 副作用・リスク | ホワイトニング後は、徐々に色戻りをおこす場合がほとんどです |
| 費用 | 40,000円(2回分) |
症例2:32歳女性、全体の黄ばみと表面のツヤのなさを気にしている患者さんです。
ホワイトニングと着色とりを重ねてとてもきれいになりました。よく見るとわかりますが、ホワイトニング後のトリートメントケアでツヤ感もしっかり取り戻せました。
術前

術後

| 治療方法 | |
|---|---|
| 副作用・リスク | |
| 費用 |
症例3:66歳女性、歯の黄ばみと詰め物の変色が気になる患者様
ホワイトニングを2回行い、前歯の詰め物をダイレクトで修復しました。
術前

術後

| 治療方法 | ホワイトニング |
|---|---|
| 副作用・リスク | ホワイトニング後は、徐々に色戻りをおこす場合がほとんどです |
| 費用 | 40,000円(2回分) |
症例4
ホワイトニングを5回行いました。
術前

術後

| 治療方法 | ホワイトニング |
|---|---|
| 副作用・リスク | ホワイトニング後は、徐々に色戻りをおこす場合がほとんどです |
| 費用 | 100,000円(5回分) |
スナップオンスマイルの症例
症例1:ご自分の歯をそのまま残したい患者様
白さを調整して作りましたので、口元がとても明るくなりました。
| 治療回数 | 2回 |
|---|---|
| 副作用・リスク | 個人差により、ごく稀に欠けたり壊れる可能性があります |
| 費用 | 300,000円(上下) |
症例2:ワイン関係のお仕事をされている患者様
着色が気になるので、お口全体を白く綺麗に改善されました。
Before

After

| 治療回数 | 2回 |
|---|---|
| 副作用・リスク | 個人差により、ごく稀に欠けたり壊れる可能性があります |
| 費用 | 140,000円(上のみ) |
症例3:接客関係のお仕事をされている患者様
たった2回で綺麗な口元を手に入れることができました。
Before

After

Before

After

| 治療回数 | 2回 |
|---|---|
| 副作用・リスク | 個人差により、ごく稀に欠けたり壊れる可能性があります |
| 費用 | 300,000円(上下) |
症例4:●●患者様
着色が気になるので、お口全体を白く綺麗に改善されました。
Before

After

| 治療回数 | 2回 |
|---|---|
| 副作用・リスク | 個人差により、ごく稀に欠けたり壊れる可能性があります |
| 費用 | 300,000円(上下) |
ガミースマイル
症例1
Before

After

| 治療方法 | ガミースマイル |
|---|---|
| 副作用・リスク | まれに注射による内出血が出ることがあります |
| 費用 | 30,000円 |
症例2
Before

After

| 治療方法 | ガミースマイル |
|---|---|
| 副作用・リスク | まれに注射による内出血が出ることがあります |
| 費用 | 30,000円 |
症例3
Before

After

| 治療方法 | ガミースマイル |
|---|---|
| 副作用・リスク | まれに注射による内出血が出ることがあります |
| 費用 | 30,000円 |
症例4
Before

After

| 治療方法 | ガミースマイル |
|---|---|
| 副作用・リスク | まれに注射による内出血が出ることがあります |
| 費用 | 30,000円 |
症例5
Before

After

| 治療方法 | ガミースマイル |
|---|---|
| 副作用・リスク | まれに注射による内出血が出ることがあります |
| 費用 | 30,000円 |
症例6
Before
![]()
After
![]()
| 治療方法 | ガミースマイル、ボトックス注射 |
|---|---|
| 副作用・リスク | まれに注射による内出血が出ることがあります |
| 費用 | 50,000円 |
マウスキュット®
症例1
Before

After

| 治療方法 | マウスキュット、ボトックス |
|---|---|
| 副作用・リスク | 個人差により、ごく稀に欠けたり壊れる可能性があります |
| 費用 | 38,000円 |











































美容歯科出張施術
見学ご希望の方へ








